Indicaciones del tratamiento de coronas dentales
Tiempo:
30 minutos por diente
Anestesia:
Local (si el diente tiene endodoncia no hace falta anestesia)
Post operatorio:
Ninguno
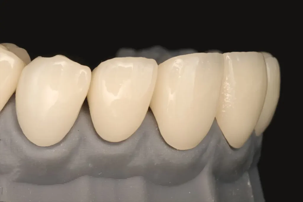
Una corona dental, también conocida como funda dental, es una prótesis utilizada para cubrir y proteger a un diente dañado o debilitado. Se coloca sobre el diente existente para restaurar su forma, tamaño, apariencia y su función.
Las coronas dentales pueden estar hechas de diferentes materiales: cerámicas, cerámicas híbridas o zirconio son los más usados en Brident Odontólogos. El material utilizado depende de varios factores, como la ubicación del diente en la boca, las necesidades estéticas del paciente y la función requerida.
Para colocar una corona dental, nuestros especialistas primero preparan el diente existente, eliminando cualquier tejido dental dañado. Luego, se toma una impresión dental digital con un escáner intraoral para crear una corona personalizada. Ésta se confecciona con tecnología CAD asistida por ordenador que luego ajusta perfectamente al diente. Finalmente, en una visita posterior, nuestros especialistas en prótesis colocarán la corona permanente utilizando adhesivos o cementos dentales muy resistentes.
Tiempo:
30 minutos por diente
Anestesia:
Local (si el diente tiene endodoncia no hace falta anestesia)
Post operatorio:
Ninguno
Financiamos tus tratamientos
Primera visita y revisión anual gratuita
Desde 1987
18.000 pacientes satisfechos
Diseñamos las coronas en 3D y las fabricamos con tecnología robótica
¿Qué dicen nuestros pacientes?
EXCELENTE A base de 497 reseñas Publicado en Nani PereraTrustindex verifica que la fuente original de la reseña sea Google. Hoy hace 2 semanas que fui a la clínica... Igual de acto de valentía que necesidad... Llevaba tiempo "haciendo CSI de las clínicas dentales" tengo varios hándicaps, malas experiencias, traumas, miedos, tocs y fobias... El olor, el dolor, el ruido de los instrumentos, los metales (metafobia), que me toquen con los mismos los dientes... Necesidad porque ya el dolor no lo soportaba, acudí desplazada de otra isla, me animaron las reseñas (por eso comparto mí experiencia), todos los tratamientos actualizados y la sedación, para mí era prioritario, o eso creía... Al llegar a la clínica acompañada, y acojonada (con perdón) me atendió EL EQUIPO DE RECEPCIÓN, y su amabilidad de entrada, ayuda a respirar, que a mí en ese momento me costaba, rellene los datos, y espere muy poco, me llamó CRISTO, la auxiliar del Dc. Guillermo, y sólo con entrarme a la sala comencé a llorar, quería salir corriendo, pero supo ayudarme a recomponerme, darme agua, todo el tiempo transmite seguridad, acompañamiento, manejo de la situación por casos similares... Llegó el Dc. GUILLERMO y no fue menos, escucha activa, me explicó las necesidades priorizando siempre el bienestar y salud ante "lo bonito", recomendación personalizada, experiencia, como podría salir pronto de todo, sobre todo el intentar reparar lo máximo posible en el menor tiempo, sabiendo que el propio hecho de estar allí por los instrumentales me costaba muchísimo, no me puso pegas en utilizar cascos, me dio muchísima seguridad y apoyo. Cómo ya tenía dolor, para que no me siguiera medicando me dieron un empujón a salir de allí el mismo día sin molestias, me dieron tiempo a pensarlo en lo que atendían y me decidí. Me pasan a otra sala, ahí conocí a LAURA, higienista, me comentaron que querían hacer, aunque en ese momento, les pedí que no me hablarán mucho que lo que tuvieran que hacer, y, ahí, el gran mérito, lo que en principio sería la extracción de una pieza (cordal) que me causaba mucho dolor irradiado, terminó siendo extracciónes de más piezas y una higiene profunda SIN SEDACIÓN, a tope de anestesia. Superé lo peor! Lloré mucho y temblaba mucho, sude más, mi cabeza sólo decía, yo puedo, yo puedo, yo puedo, como un mantra, y sólo pedí parar cuando paraba la música, intento no recordar algunos sonidos, y centrarme en lo que me sumó... Que todo el tiempo me acompañaron, me dieron fuerza, las chicas me agarraban de las manos, me sostenían, el Dc. me animaba, no me dejaron sola, me recordaban el respirar, y el parar cuando necesitara. Tenía también miedo al post. pero seguí y sigo sus recomendaciones, las del Dc., las de todas las chicas, incluidas las de recepción, y no tuve molestias, ni inflamación, con las pautas a raja tabla. En especial Laura me decía: lo que has superado hoy, valiente, y que era un placer conocerme, y el placer fue mío, desde hace 15 días, recordar sus palabras, me reafirma y da fuerza. Me llamó a los días y no creía que había estado en un concierto. Por supuesto sigo preparándome para la próxima visita. Entendieron que todos tenemos nuestros tocs, nuestras taras nuestras fobias y eso sólo lo comprende un equipo humano. Los miedos así como las malas rachas se pasan. En resumen: GRACIAS GRACIAS GRACIAS (y, disculpen por la extensión pero mí experiencia lo requiere!) ElianaPublicado en Sandra FarinaTrustindex verifica que la fuente original de la reseña sea Google. Hace apenas unas horas que el doctor Gillermo y su equipo me extrajeron tres muelas y pusieron tres implantes,no quería esperar más para escribir mi experiencia.Independientemente del magnífico trabajo realizado,quiero destacar el trato recibido.Para mí es importantísimo cuando uno se somete a cualquier tratamiento médico cómo te hacen sentir,la tranquilidad en momentos así es fundamental,y en Brident Odontólogos hacen magia.Una manera de tratar al paciente que escasea,de esas que no olvidas,profesionales,amables,exquisitamente amables.Gracias por la magnífica labor que realizan,sin duda alguna la mejor clínica dental de Tenerife.Publicado en maria isabel santos venturaTrustindex verifica que la fuente original de la reseña sea Google. Muy buen atendimiento . Y profesionalidadPublicado en Roman KopylovTrustindex verifica que la fuente original de la reseña sea Google. Здесь работают потрясающие профессионалы, которые оперативно и качественно поставили коронку на зуб моей жене и помогли сэкономить кучу денег и сохранить зубPublicado en Sonia SantosTrustindex verifica que la fuente original de la reseña sea Google. Encantadísima!!! Y con dos extracciones... con un implante... efectuados en un día y el postoperatorio genial 😅 Súper profesionales y efectivos, desde los doctores pasando por todo el equipo en completo! Gracias y volveré 🥰Publicado en Alicia DsTrustindex verifica que la fuente original de la reseña sea Google. ¡Encantada con mi experiencia en esta clínica dental! Fui a hacerme una limpieza y el resultado fue increíble. El trato fue excelente y muy profesional, me hicieron sentir cómoda en todo momento. Se nota el buen trabajo y salí súper contenta con mi sonrisa. ¡La recomiendo al 100%!Publicado en zara lopezTrustindex verifica que la fuente original de la reseña sea Google. Me atendieron con mucha profesionalidad y me asesoraron de forma muy sincera y correcta. Sin duda confiaré en ellos para próximos tratamientos.
El proceso de colocación de una corona dental generalmente se realiza en dos visitas al dentista. En la primera visita, nuestros especialistas prepararán el diente tallándolo y tomando una impresión con una cámara digital para crear una corona personalizada y diseñada por ordenador. En la segunda visita, el dentista cementará la corona al diente de manera permanente
Las coronas dentales se utilizan en varios casos para:
La duración de una corona dental depende de muchos factores, como el cuidado oral, la higiene bucal, los hábitos alimentarios y la fuerza de masticación del paciente. El factor más importante del pronóstico de una corona es el estado del diente y el porcentaje de diente natural que hay debajo de la corona.
El procedimiento para colocar una corona dental no es para nada doloroso, ya que se realiza bajo anestesia local. Sin embargo, algunos pacientes pueden experimentar sensibilidad o ligeras molestias los primeros días.
Una corona dental es una cubierta protectora que se coloca sobre un diente dañado o debilitado. Está diseñada para restaurar la forma, la función y la apariencia del diente.
Las coronas dentales utilizadas en Brident Odontólogos pueden estar hechas de diferentes materiales, los principales son la cerámica, el zirconio y las cerámicas híbridas, usaremos un material u otro en función de las necesidades y de la indicación que necesitemos para cada paciente.
Ofrecemos la primera visita dental gratuita de 30 minutos de duración. En la que conocemos las inquietudes del paciente y organizamos un plan de tratamiento. Asimismo, proponemos un
presupuesto sin compromiso.
Nuestra filosofía como clínica odontológica se basa en la prevención. Es por ello, que recordamos a nuestros pacientes acudir a nuestra clínica dental de forma gratuita al menos 1 o 2 veces al año para realizarse controles periódicos y evitar complicaciones.