En Brident Odontólogos colocamos un alto porcentaje de los implantes dentales en Tenerife sin necesidad de realizar una cirugía invasiva.
Mejoramos la salud y la estética dental sin dolor ni inflamación y con una recuperación inmediata.
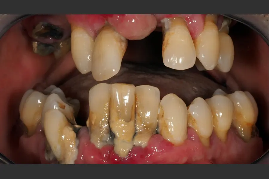
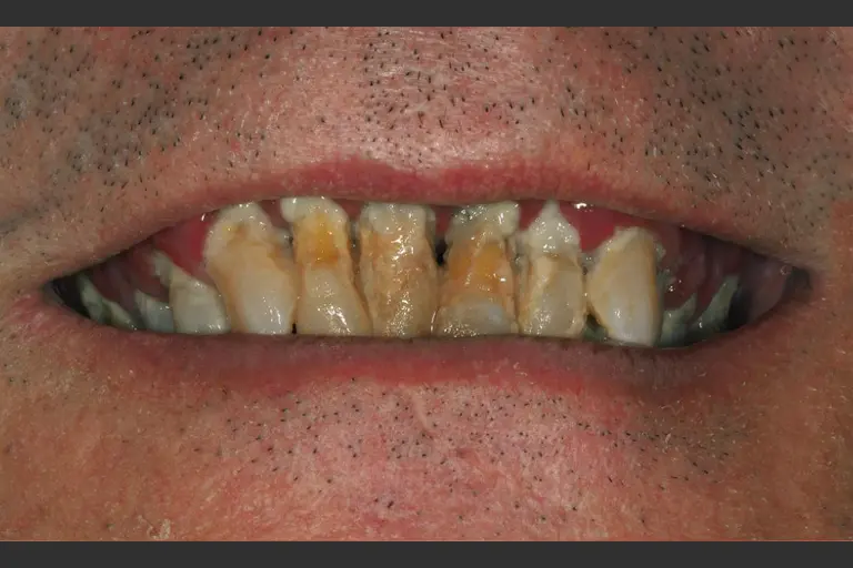
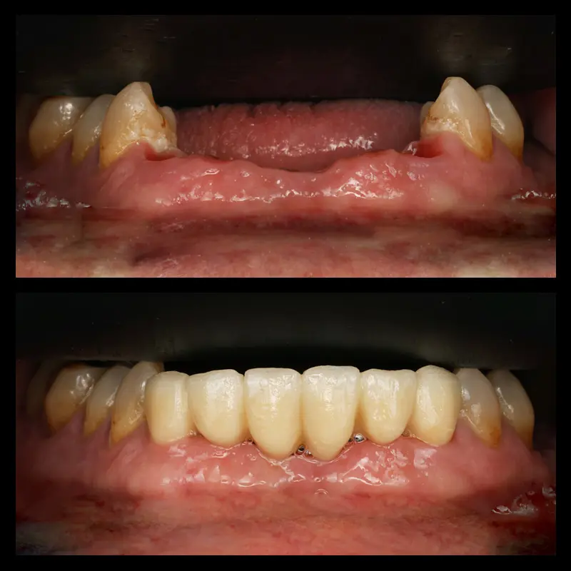
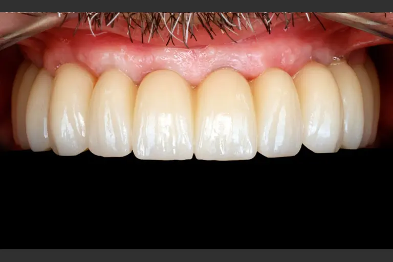
A diferencia de los métodos tradicionales, los «implantes dentales sin cirugía» son una técnica mínimamente invasiva en la que aplicamos tecnología digital y la experiencia de nuestro especialista para poder colocar el implante de manera precisa, sin incisiones ni puntos de sutura. Este procedimiento se realiza mediante una pequeña perforación en la encía del tamaño de una lenteja que minimiza el trauma y reduce significativamente las molestias.
Evaluación y Planificación Digital: Se realiza un TAC 3D de la boca del paciente para analizar las condiciones del hueso y planificar la colocación precisa del implante.
Colocación del Implante: Realizamos una pequeña incisión en la encía ( 4-5 mm) y colocamos el implante en el hueso maxilar o mandibular a través de esa pequeña perforación.
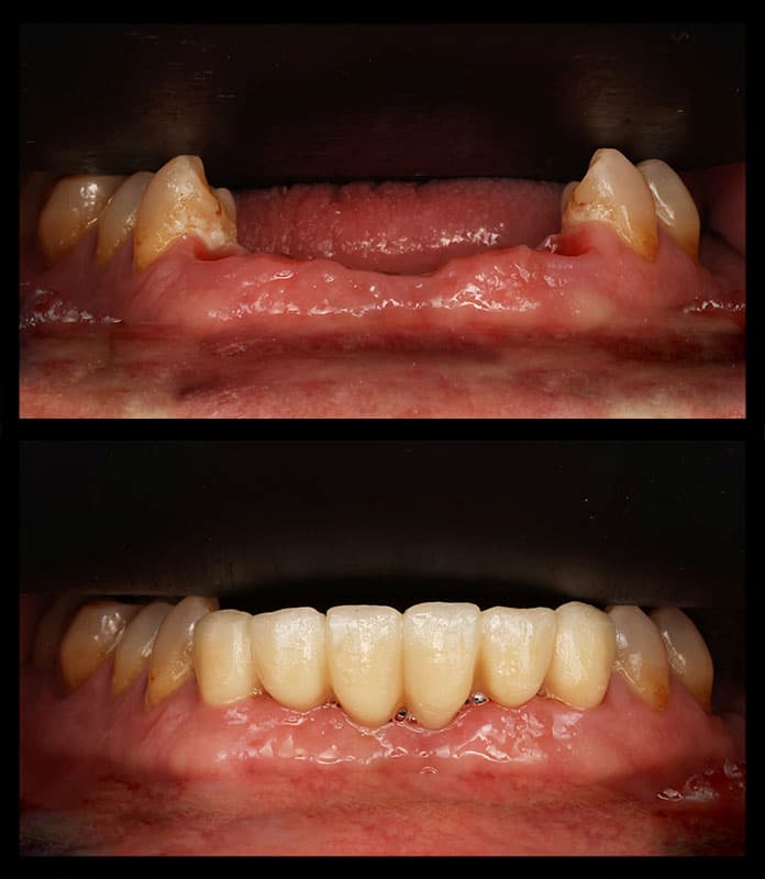
Integración y Cicatrización: El implante se fusiona al hueso durante el proceso de osteointegración (2-5 meses). Una vez integrado, escaneamos el implante con un escáner 3D para poder realizar el diseño y la fabricación de la corona en zirconio o cerámica.
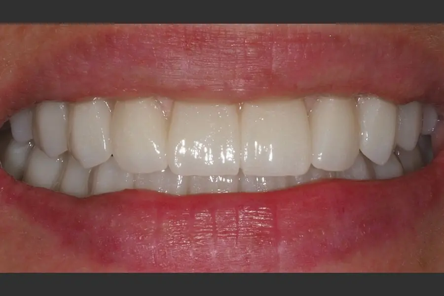
Colocación de la prótesis definitiva sobre el implante dental: En esta cita, atornillamos la corona al implante y el trabajo quedaría finalizado. Será muy importante realizar revisiones anuales para mantener la salud del implante y de la boca en general.
Esta técnica es ideal para la mayoría de los pacientes, sobre todo para los que buscan una alternativa cómoda, rápida y poco invasiva. Sin embargo, cada caso es único, y es muy importante que analicemos tus condiciones de hueso y encía mediante un TAC 3D y una exploración de la boca para determinar si es la opción más adecuada en tu caso.
ALL ON X : Implantes en maxilar superior + dientes en 1 día
ALL ON X : Implantes en maxilar superior e inferior + dientes en 1 día.
ALL ON X: Implantes en maxilar superior + dientes en 1 día
ALL ON X : Implantes en maxilar superior e inferior + dientes en 1 día con sedación consciente
ALL ON X: Implantes en maxilar superior e inferior + dientes en 1 día
ALL ON X : Implantes en maxilar superior e inferior + dientes en 1 día con sedación consciente
ALL ON X : Implantes en maxilar superior e inferior + dientes en 1 día
ALL ON X : Implantes en maxilar superior e inferior + dientes en 1 día
ALL ON X: Implantes en maxilar superior + dientes en 1 día
ALL ON X : Implantes en maxilar superior + dientes en 1 día
Financiamos tus tratamientos
Primera visita y revisión anual gratuita
Desde 1987
18.000 pacientes satisfechos
Implantes dentales sin cirugía
¿Qué dicen nuestros pacientes?
EXCELENTE A base de 497 reseñas Publicado en Nani PereraTrustindex verifica que la fuente original de la reseña sea Google. Hoy hace 2 semanas que fui a la clínica... Igual de acto de valentía que necesidad... Llevaba tiempo "haciendo CSI de las clínicas dentales" tengo varios hándicaps, malas experiencias, traumas, miedos, tocs y fobias... El olor, el dolor, el ruido de los instrumentos, los metales (metafobia), que me toquen con los mismos los dientes... Necesidad porque ya el dolor no lo soportaba, acudí desplazada de otra isla, me animaron las reseñas (por eso comparto mí experiencia), todos los tratamientos actualizados y la sedación, para mí era prioritario, o eso creía... Al llegar a la clínica acompañada, y acojonada (con perdón) me atendió EL EQUIPO DE RECEPCIÓN, y su amabilidad de entrada, ayuda a respirar, que a mí en ese momento me costaba, rellene los datos, y espere muy poco, me llamó CRISTO, la auxiliar del Dc. Guillermo, y sólo con entrarme a la sala comencé a llorar, quería salir corriendo, pero supo ayudarme a recomponerme, darme agua, todo el tiempo transmite seguridad, acompañamiento, manejo de la situación por casos similares... Llegó el Dc. GUILLERMO y no fue menos, escucha activa, me explicó las necesidades priorizando siempre el bienestar y salud ante "lo bonito", recomendación personalizada, experiencia, como podría salir pronto de todo, sobre todo el intentar reparar lo máximo posible en el menor tiempo, sabiendo que el propio hecho de estar allí por los instrumentales me costaba muchísimo, no me puso pegas en utilizar cascos, me dio muchísima seguridad y apoyo. Cómo ya tenía dolor, para que no me siguiera medicando me dieron un empujón a salir de allí el mismo día sin molestias, me dieron tiempo a pensarlo en lo que atendían y me decidí. Me pasan a otra sala, ahí conocí a LAURA, higienista, me comentaron que querían hacer, aunque en ese momento, les pedí que no me hablarán mucho que lo que tuvieran que hacer, y, ahí, el gran mérito, lo que en principio sería la extracción de una pieza (cordal) que me causaba mucho dolor irradiado, terminó siendo extracciónes de más piezas y una higiene profunda SIN SEDACIÓN, a tope de anestesia. Superé lo peor! Lloré mucho y temblaba mucho, sude más, mi cabeza sólo decía, yo puedo, yo puedo, yo puedo, como un mantra, y sólo pedí parar cuando paraba la música, intento no recordar algunos sonidos, y centrarme en lo que me sumó... Que todo el tiempo me acompañaron, me dieron fuerza, las chicas me agarraban de las manos, me sostenían, el Dc. me animaba, no me dejaron sola, me recordaban el respirar, y el parar cuando necesitara. Tenía también miedo al post. pero seguí y sigo sus recomendaciones, las del Dc., las de todas las chicas, incluidas las de recepción, y no tuve molestias, ni inflamación, con las pautas a raja tabla. En especial Laura me decía: lo que has superado hoy, valiente, y que era un placer conocerme, y el placer fue mío, desde hace 15 días, recordar sus palabras, me reafirma y da fuerza. Me llamó a los días y no creía que había estado en un concierto. Por supuesto sigo preparándome para la próxima visita. Entendieron que todos tenemos nuestros tocs, nuestras taras nuestras fobias y eso sólo lo comprende un equipo humano. Los miedos así como las malas rachas se pasan. En resumen: GRACIAS GRACIAS GRACIAS (y, disculpen por la extensión pero mí experiencia lo requiere!) ElianaPublicado en Sandra FarinaTrustindex verifica que la fuente original de la reseña sea Google. Hace apenas unas horas que el doctor Gillermo y su equipo me extrajeron tres muelas y pusieron tres implantes,no quería esperar más para escribir mi experiencia.Independientemente del magnífico trabajo realizado,quiero destacar el trato recibido.Para mí es importantísimo cuando uno se somete a cualquier tratamiento médico cómo te hacen sentir,la tranquilidad en momentos así es fundamental,y en Brident Odontólogos hacen magia.Una manera de tratar al paciente que escasea,de esas que no olvidas,profesionales,amables,exquisitamente amables.Gracias por la magnífica labor que realizan,sin duda alguna la mejor clínica dental de Tenerife.Publicado en maria isabel santos venturaTrustindex verifica que la fuente original de la reseña sea Google. Muy buen atendimiento . Y profesionalidadPublicado en Roman KopylovTrustindex verifica que la fuente original de la reseña sea Google. Здесь работают потрясающие профессионалы, которые оперативно и качественно поставили коронку на зуб моей жене и помогли сэкономить кучу денег и сохранить зубPublicado en Sonia SantosTrustindex verifica que la fuente original de la reseña sea Google. Encantadísima!!! Y con dos extracciones... con un implante... efectuados en un día y el postoperatorio genial 😅 Súper profesionales y efectivos, desde los doctores pasando por todo el equipo en completo! Gracias y volveré 🥰Publicado en Alicia DsTrustindex verifica que la fuente original de la reseña sea Google. ¡Encantada con mi experiencia en esta clínica dental! Fui a hacerme una limpieza y el resultado fue increíble. El trato fue excelente y muy profesional, me hicieron sentir cómoda en todo momento. Se nota el buen trabajo y salí súper contenta con mi sonrisa. ¡La recomiendo al 100%!Publicado en zara lopezTrustindex verifica que la fuente original de la reseña sea Google. Me atendieron con mucha profesionalidad y me asesoraron de forma muy sincera y correcta. Sin duda confiaré en ellos para próximos tratamientos.
La colocación suele ser muy rápida, dura entre 5-15 minutos por cada implante que haya que colocar.
Aunque siempre puede haber ligeras molestias, esta técnica reduce considerablemente el dolor, el sangrado y la inflamación en comparación con los métodos tradicionales.
Si buscas una opción de implantes dentales sin dolor, sin riesgo y con una recuperación rápida los implantes sin cirugía que realizamos en Brident Odontólogos están hechos para ti.
Si, es una técnica que necesita una cantidad y calidad mínima de hueso y de encía para poder llevarla a cabo.
Depende de las condiciones , pero en muchos casos si que podemos colocar una prótesis provisional atornillada al implante 1 hora después de colocarlo.
Ofrecemos la primera visita dental gratuita de 30 minutos de duración. En la que conocemos las inquietudes del paciente y organizamos un plan de tratamiento. Asimismo, proponemos un
presupuesto sin compromiso.
Nuestra filosofía como clínica odontológica se basa en la prevención. Es por ello, que recordamos a nuestros pacientes acudir a nuestra clínica dental de forma gratuita al menos 1 o 2 veces al año para realizarse controles periódicos y evitar complicaciones.