
Remedios para dientes que se mueven
¿Qué puede provocar que un diente pierda soporte y comience a moverse? Enfermedad periodontalNo es una exageración afirmar que la periodontitis puede causar la movilidad,
Las enfermedades periodontales son aquellas que afectan a los tejidos que soportan al diente (encía, ligamento periodontal y hueso).
El estado avanzado o descontrolado de este tipo de enfermedades puede acabar con la pérdida de dientes temprana.
Este tipo de enfermedades son causadas por bacterias, y se manifiestan con inflamación y con infección.
Es la fase temprana de la enfermedad periodontal. Aparece cuando se acumula placa bacteriana o sarro que ataca a las encías. Afecta principalmente al hueso sin llegar a afectar al hueso.
Los signos más comunes de la gingivitis son la inflamación de la encía, dolor leve, coloración rojo intenso y sangrado de encías.
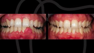
Cuando además de los síntomas de la gingivitis, se produce retracción de encías y/o perdida del hueso podemos afirmar que existe periodontitis. Si esta patología no la controlamos y la tratamos, el diente comenzará a moverse, apareciendo los famosos triángulos negros o huecos interdentales que tanto afectan a la estética. El paciente también puede sufrir molestias al masticar.
La periodontitis es una enfermedad crónica. Hoy en día, gracias a los tratamientos podemos estabilizar la enfermedad y ofrecerle al paciente una calidad de vida aceptable.
Atajar y tratar lo antes posible una periodontitis es fundamental para el pronóstico de la salud bucodental del paciente.
Cada día tratamos muchos pacientes con problemas similares a los tuyos: encías sangrantes, mal aliento o halitosis, dolor y movilidad de dientes, etc.
Cogiendo cita en nuestra clínica dental Brident Odontólogos podremos saber si sufres enfermedad periodontal y el estado de ésta en una primera visita sin coste y sin compromiso.
Tras un examen clínico y en algunos casos la realización de un Tac dental 3D o una Ortopantomografía, nuestro experto en periodoncia llevará a cabo una valoración y un plan de tratamiento personalizado para cada paciente.
Financiamos tus tratamientos
Primera visita y revisión anual gratuita
Desde 1987
18.000 pacientes satisfechos
Prevenimos para evitar el avance de la enfermedad periodontal
¿Qué dicen nuestros pacientes?
EXCELENTE A base de 497 reseñas Publicado en Nani PereraTrustindex verifica que la fuente original de la reseña sea Google. Hoy hace 2 semanas que fui a la clínica... Igual de acto de valentía que necesidad... Llevaba tiempo "haciendo CSI de las clínicas dentales" tengo varios hándicaps, malas experiencias, traumas, miedos, tocs y fobias... El olor, el dolor, el ruido de los instrumentos, los metales (metafobia), que me toquen con los mismos los dientes... Necesidad porque ya el dolor no lo soportaba, acudí desplazada de otra isla, me animaron las reseñas (por eso comparto mí experiencia), todos los tratamientos actualizados y la sedación, para mí era prioritario, o eso creía... Al llegar a la clínica acompañada, y acojonada (con perdón) me atendió EL EQUIPO DE RECEPCIÓN, y su amabilidad de entrada, ayuda a respirar, que a mí en ese momento me costaba, rellene los datos, y espere muy poco, me llamó CRISTO, la auxiliar del Dc. Guillermo, y sólo con entrarme a la sala comencé a llorar, quería salir corriendo, pero supo ayudarme a recomponerme, darme agua, todo el tiempo transmite seguridad, acompañamiento, manejo de la situación por casos similares... Llegó el Dc. GUILLERMO y no fue menos, escucha activa, me explicó las necesidades priorizando siempre el bienestar y salud ante "lo bonito", recomendación personalizada, experiencia, como podría salir pronto de todo, sobre todo el intentar reparar lo máximo posible en el menor tiempo, sabiendo que el propio hecho de estar allí por los instrumentales me costaba muchísimo, no me puso pegas en utilizar cascos, me dio muchísima seguridad y apoyo. Cómo ya tenía dolor, para que no me siguiera medicando me dieron un empujón a salir de allí el mismo día sin molestias, me dieron tiempo a pensarlo en lo que atendían y me decidí. Me pasan a otra sala, ahí conocí a LAURA, higienista, me comentaron que querían hacer, aunque en ese momento, les pedí que no me hablarán mucho que lo que tuvieran que hacer, y, ahí, el gran mérito, lo que en principio sería la extracción de una pieza (cordal) que me causaba mucho dolor irradiado, terminó siendo extracciónes de más piezas y una higiene profunda SIN SEDACIÓN, a tope de anestesia. Superé lo peor! Lloré mucho y temblaba mucho, sude más, mi cabeza sólo decía, yo puedo, yo puedo, yo puedo, como un mantra, y sólo pedí parar cuando paraba la música, intento no recordar algunos sonidos, y centrarme en lo que me sumó... Que todo el tiempo me acompañaron, me dieron fuerza, las chicas me agarraban de las manos, me sostenían, el Dc. me animaba, no me dejaron sola, me recordaban el respirar, y el parar cuando necesitara. Tenía también miedo al post. pero seguí y sigo sus recomendaciones, las del Dc., las de todas las chicas, incluidas las de recepción, y no tuve molestias, ni inflamación, con las pautas a raja tabla. En especial Laura me decía: lo que has superado hoy, valiente, y que era un placer conocerme, y el placer fue mío, desde hace 15 días, recordar sus palabras, me reafirma y da fuerza. Me llamó a los días y no creía que había estado en un concierto. Por supuesto sigo preparándome para la próxima visita. Entendieron que todos tenemos nuestros tocs, nuestras taras nuestras fobias y eso sólo lo comprende un equipo humano. Los miedos así como las malas rachas se pasan. En resumen: GRACIAS GRACIAS GRACIAS (y, disculpen por la extensión pero mí experiencia lo requiere!) ElianaPublicado en Sandra FarinaTrustindex verifica que la fuente original de la reseña sea Google. Hace apenas unas horas que el doctor Gillermo y su equipo me extrajeron tres muelas y pusieron tres implantes,no quería esperar más para escribir mi experiencia.Independientemente del magnífico trabajo realizado,quiero destacar el trato recibido.Para mí es importantísimo cuando uno se somete a cualquier tratamiento médico cómo te hacen sentir,la tranquilidad en momentos así es fundamental,y en Brident Odontólogos hacen magia.Una manera de tratar al paciente que escasea,de esas que no olvidas,profesionales,amables,exquisitamente amables.Gracias por la magnífica labor que realizan,sin duda alguna la mejor clínica dental de Tenerife.Publicado en maria isabel santos venturaTrustindex verifica que la fuente original de la reseña sea Google. Muy buen atendimiento . Y profesionalidadPublicado en Roman KopylovTrustindex verifica que la fuente original de la reseña sea Google. Здесь работают потрясающие профессионалы, которые оперативно и качественно поставили коронку на зуб моей жене и помогли сэкономить кучу денег и сохранить зубPublicado en Sonia SantosTrustindex verifica que la fuente original de la reseña sea Google. Encantadísima!!! Y con dos extracciones... con un implante... efectuados en un día y el postoperatorio genial 😅 Súper profesionales y efectivos, desde los doctores pasando por todo el equipo en completo! Gracias y volveré 🥰Publicado en Alicia DsTrustindex verifica que la fuente original de la reseña sea Google. ¡Encantada con mi experiencia en esta clínica dental! Fui a hacerme una limpieza y el resultado fue increíble. El trato fue excelente y muy profesional, me hicieron sentir cómoda en todo momento. Se nota el buen trabajo y salí súper contenta con mi sonrisa. ¡La recomiendo al 100%!Publicado en zara lopezTrustindex verifica que la fuente original de la reseña sea Google. Me atendieron con mucha profesionalidad y me asesoraron de forma muy sincera y correcta. Sin duda confiaré en ellos para próximos tratamientos.
Debemos visitar la clínica cada 4 -12 meses dependiendo del caso. El objetivo de estas visitas es controlar la higiene bucal y prevenir enfermedades orales como la caries, periodontitis, focos infecciosos, cáncer oral, etc.
La higiene diaria en casa debe complementarse con una higiene profesional realizada por nuestro equipo de higienistas dentales. En esta visita conseguimos una limpieza mucho más profunda que nos ayuda a controlar cualquier posible patología.
La principal causa de piorrea o enfermedad periodontal es la falta de una correcta higiene bucodental. Con un correcto cepillado, el uso de irrigadores bucales, seda dental, etc conseguimos eliminar gran parte del sarro y de la placa bacteriana que son los principales causantes de esta enfermedad.
Existen otros hábitos adquiridos como el alcohol, tabaquismo, dietas insanas, etc que también desarrollan y agravan la piorrea. Por el contrario, el factor genético es un factor no controlable por el humano pero que también es determinante a la hora de desarrollar periodontitis.
Acudir a la clínica de forma urgente, el pus es un signo claro de infección.
Un ligero sangrado de las encías es una señal que debe hacernos pensar en acudir a la clínica a realizar una revisión.
No, una vez se forma el sarro la única manera de retirarlo es mediante una limpieza profesional hecha por alguna de nuestras higienistas con aparatos ultrasónicos.
El sangrado durante el cepillado o durante la noche es un signo claro de que algo no va bien. El sangrado aparece cuando existe inflamación o infección en las encías y es por ello que debemos acudir a la clínica de inmediato para poder revertir el problema sin llegar a causar problemas mayores.
Si, podemos afirmar que existen factores genéticos que hacen que una persona pueda tener mayor predisposición a la enfermedad.
Por lo que como los factores genéticos no los podemos controlar, tenemos que hacer todo lo posible por no añadir factores nocivos externos como puede ser el tabaquismo o la falta de higiene oral diaria en casa.
No es normal, seguramente el dolor se origine por una inflamación de la misma. Por lo que debes acudir a nuestra clínica para que un especialista revise el estado de la encía y valore la necesidad de realizar una limpieza o un curetaje de las zonas afectadas.
Pide una cita en el 922 283 922 y valoraremos tu caso de manera individualizada, organizando un plan de tratamiento a largo plazo para poder evitar la aparición o el avance de esta enfermedad tan común entre la población.
A pesar de que nuestra prioridad es mantener los dientes con enfermedad periodontal el máximo tiempo posible en la boca. Muchas veces nos encontramos con fases de la enfermedad muy avanzada y debemos realizar la extracción de los dientes, en estos casos la alternativa más recomendable es reponer las piezas dentales perdidas mediante implantes dentales y prótesis fijas.
La Gingivitis es una simple inflamación de las encías y se caracteriza por el sangrado durante el cepillado. Sin embargo, la Periodontitis es una enfermedad irreversible que se caracteriza por la pérdida de los tejidos que soportan al diente (encía y hueso) y puede causar la pérdida de dientes de forma temprana.
1. DIAGNÓSTICO
Realizamos radiografías o un tac 3D y una serie de pruebas clínicas con una sonda periodontal para diagnosticar si existe enfermedad periodontal o no.
2. TRATAMIENTO
En nuestra clínica ofrecemos tratamientos destinados a los cuidados y al mantenimiento de las enfermedades periodontales con el objetivo de evitar pérdidas de dientes de forma prematura.
La Gingivitis y la Periodontitis son enfermedades que deben ser tratadas con mediante limpiezas, curetajes, raspados radiculares, etc.
Por supuesto, como hemos comentado son enfermedades que avanzan por la falta de higiene dental, al no retirar de forma correcta los alimentos de la boca éstos se descomponen y originan la aparición de bacterias que son las causantes de la enfermedad.

¿Qué puede provocar que un diente pierda soporte y comience a moverse? Enfermedad periodontalNo es una exageración afirmar que la periodontitis puede causar la movilidad,

Un absceso dental es una infección localizada provocada por la existencia de bacterias dañinas. Es común que se forme pus en la encía o el

En este texto, examinaremos a fondo la enfermedad periodontal, sus signos, impactos, formas de prevención y opciones de tratamiento. ¿Qué es la periodontitis? La enfermedad

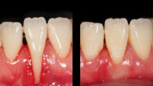
La pérdida de las encías es un problema doblemente grave, ya que afecta tanto a la salud bucal como a la autoestima por la apariencia estética. Las personas que sufren esta afección encuentran en la odontología, y en concreto en las técnicas de periodoncia, soluciones interesantes para esta situación.

Las encías retraídas tienen muchas causas asociadas, muchas son consecuencia de la falta de higiene dental o de hábitos poco saludables

El curetaje dental o raspado, es un procedimiento odontológico en el que se raspa una bolsa de la encía inflamada y se elimina el sarro que se encuentra al interior. Luego se alisa la superficie de la raíz, esto parte de un tratamiento periodontal. Se requiere anestesia local para el procedimiento, por lo que el paciente generalmente no siente ningún dolor.
Ofrecemos la primera visita dental gratuita de 30 minutos de duración. En la que conocemos las inquietudes del paciente y organizamos un plan de tratamiento. Asimismo, proponemos un
presupuesto sin compromiso.
Nuestra filosofía como clínica odontológica se basa en la prevención. Es por ello, que recordamos a nuestros pacientes acudir a nuestra clínica dental de forma gratuita al menos 1 o 2 veces al año para realizarse controles periódicos y evitar complicaciones.