Indicaciones del tratamiento de sonrisa gingival
Tiempo:
Entre 30 y 150 minutos, dependiendo de si es un diente o toda una arcada.
Anestesia:
Local
Post operatorio:
Leve molestia en la zona, algo de reposo y dieta blanda las 24-48 horas
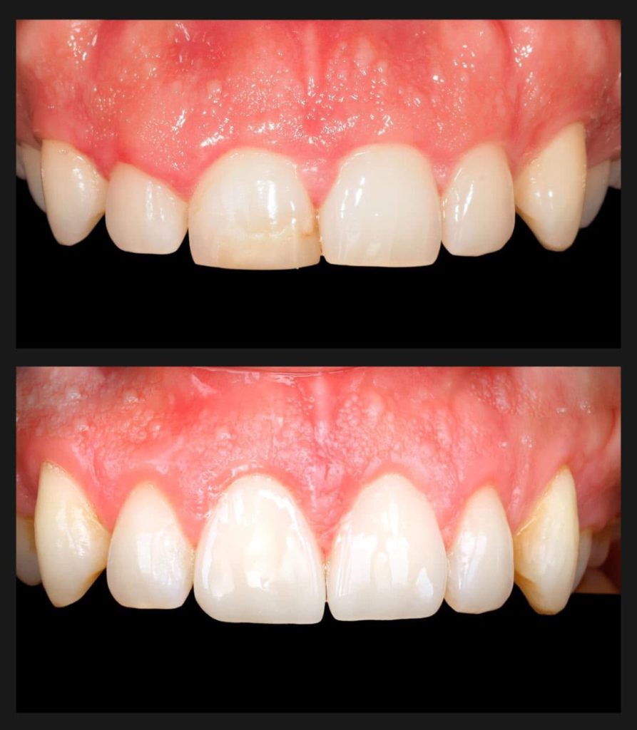
La sonrisa gingival es una condición en la que una persona muestra una cantidad excesiva de encía al sonreír. En otras palabras, cuando una persona sonríe, una porción significativa de su encía se hace visible, dando la impresión de que los dientes están más cortos de lo normal, este problema se puede tratar en nuestra consulta mediante gingivectomías / alargamientos coronarios o mediante el reposicionamiento labial.
Es un tratamiento estético muy agradecido que realizamos en aquellos pacientes que, al sonreír, enseñan mucho la encía y muy poco el diente. Esto se conoce como sonrisa gingival.
Mediante una pequeña intervención quirúrgica con un láser, retiramos unos pocos milímetros la encía sobrante obteniendo una sonrisa en la que conseguimos mayor protagonismo de los dientes. Esta pequeña intervención se conoce como gingivectomía.
En determinados casos y por indicación de nuestros especialistas, además de retirar unos pocos milímetros la encía, también debemos hacer una pequeña osteotomía. Esto consiste en modificar ligeramente el contorno del hueso.
Los resultados de estos tratamiento son muy predecibles y rápidos. Es por ello, que someterse a este tipo de tratamientos merece la pena si queremos obtener una sonrisa armónica y compensada.
Tiempo:
Entre 30 y 150 minutos, dependiendo de si es un diente o toda una arcada.
Anestesia:
Local
Post operatorio:
Leve molestia en la zona, algo de reposo y dieta blanda las 24-48 horas
El reposicionamiento labial es un procedimiento quirúrgico mediante el cual limitamos el movimiento del labio superior, posicionándolo de tal manera que, al sonreír, la cantidad de encía expuesta sea menor.
Financiamos tus tratamientos
Primera visita y revisión anual gratuita
Desde 1987
18.000 pacientes satisfechos
Corregimos la sonrisa gingival con una intervención muy sencilla
¿Qué dicen nuestros pacientes?
EXCELENTE A base de 497 reseñas Publicado en Nani PereraTrustindex verifica que la fuente original de la reseña sea Google. Hoy hace 2 semanas que fui a la clínica... Igual de acto de valentía que necesidad... Llevaba tiempo "haciendo CSI de las clínicas dentales" tengo varios hándicaps, malas experiencias, traumas, miedos, tocs y fobias... El olor, el dolor, el ruido de los instrumentos, los metales (metafobia), que me toquen con los mismos los dientes... Necesidad porque ya el dolor no lo soportaba, acudí desplazada de otra isla, me animaron las reseñas (por eso comparto mí experiencia), todos los tratamientos actualizados y la sedación, para mí era prioritario, o eso creía... Al llegar a la clínica acompañada, y acojonada (con perdón) me atendió EL EQUIPO DE RECEPCIÓN, y su amabilidad de entrada, ayuda a respirar, que a mí en ese momento me costaba, rellene los datos, y espere muy poco, me llamó CRISTO, la auxiliar del Dc. Guillermo, y sólo con entrarme a la sala comencé a llorar, quería salir corriendo, pero supo ayudarme a recomponerme, darme agua, todo el tiempo transmite seguridad, acompañamiento, manejo de la situación por casos similares... Llegó el Dc. GUILLERMO y no fue menos, escucha activa, me explicó las necesidades priorizando siempre el bienestar y salud ante "lo bonito", recomendación personalizada, experiencia, como podría salir pronto de todo, sobre todo el intentar reparar lo máximo posible en el menor tiempo, sabiendo que el propio hecho de estar allí por los instrumentales me costaba muchísimo, no me puso pegas en utilizar cascos, me dio muchísima seguridad y apoyo. Cómo ya tenía dolor, para que no me siguiera medicando me dieron un empujón a salir de allí el mismo día sin molestias, me dieron tiempo a pensarlo en lo que atendían y me decidí. Me pasan a otra sala, ahí conocí a LAURA, higienista, me comentaron que querían hacer, aunque en ese momento, les pedí que no me hablarán mucho que lo que tuvieran que hacer, y, ahí, el gran mérito, lo que en principio sería la extracción de una pieza (cordal) que me causaba mucho dolor irradiado, terminó siendo extracciónes de más piezas y una higiene profunda SIN SEDACIÓN, a tope de anestesia. Superé lo peor! Lloré mucho y temblaba mucho, sude más, mi cabeza sólo decía, yo puedo, yo puedo, yo puedo, como un mantra, y sólo pedí parar cuando paraba la música, intento no recordar algunos sonidos, y centrarme en lo que me sumó... Que todo el tiempo me acompañaron, me dieron fuerza, las chicas me agarraban de las manos, me sostenían, el Dc. me animaba, no me dejaron sola, me recordaban el respirar, y el parar cuando necesitara. Tenía también miedo al post. pero seguí y sigo sus recomendaciones, las del Dc., las de todas las chicas, incluidas las de recepción, y no tuve molestias, ni inflamación, con las pautas a raja tabla. En especial Laura me decía: lo que has superado hoy, valiente, y que era un placer conocerme, y el placer fue mío, desde hace 15 días, recordar sus palabras, me reafirma y da fuerza. Me llamó a los días y no creía que había estado en un concierto. Por supuesto sigo preparándome para la próxima visita. Entendieron que todos tenemos nuestros tocs, nuestras taras nuestras fobias y eso sólo lo comprende un equipo humano. Los miedos así como las malas rachas se pasan. En resumen: GRACIAS GRACIAS GRACIAS (y, disculpen por la extensión pero mí experiencia lo requiere!) ElianaPublicado en Sandra FarinaTrustindex verifica que la fuente original de la reseña sea Google. Hace apenas unas horas que el doctor Gillermo y su equipo me extrajeron tres muelas y pusieron tres implantes,no quería esperar más para escribir mi experiencia.Independientemente del magnífico trabajo realizado,quiero destacar el trato recibido.Para mí es importantísimo cuando uno se somete a cualquier tratamiento médico cómo te hacen sentir,la tranquilidad en momentos así es fundamental,y en Brident Odontólogos hacen magia.Una manera de tratar al paciente que escasea,de esas que no olvidas,profesionales,amables,exquisitamente amables.Gracias por la magnífica labor que realizan,sin duda alguna la mejor clínica dental de Tenerife.Publicado en maria isabel santos venturaTrustindex verifica que la fuente original de la reseña sea Google. Muy buen atendimiento . Y profesionalidadPublicado en Roman KopylovTrustindex verifica que la fuente original de la reseña sea Google. Здесь работают потрясающие профессионалы, которые оперативно и качественно поставили коронку на зуб моей жене и помогли сэкономить кучу денег и сохранить зубPublicado en Sonia SantosTrustindex verifica que la fuente original de la reseña sea Google. Encantadísima!!! Y con dos extracciones... con un implante... efectuados en un día y el postoperatorio genial 😅 Súper profesionales y efectivos, desde los doctores pasando por todo el equipo en completo! Gracias y volveré 🥰Publicado en Alicia DsTrustindex verifica que la fuente original de la reseña sea Google. ¡Encantada con mi experiencia en esta clínica dental! Fui a hacerme una limpieza y el resultado fue increíble. El trato fue excelente y muy profesional, me hicieron sentir cómoda en todo momento. Se nota el buen trabajo y salí súper contenta con mi sonrisa. ¡La recomiendo al 100%!Publicado en zara lopezTrustindex verifica que la fuente original de la reseña sea Google. Me atendieron con mucha profesionalidad y me asesoraron de forma muy sincera y correcta. Sin duda confiaré en ellos para próximos tratamientos.
El diagnóstico de la sonrisa gingival generalmente se realiza por medio de un simple examen clínico realizado por un dentista o un especialista en estética dental. El profesional evaluará la cantidad de encía expuesta al sonreír y determinará la causa de la sonrisa gingival.
La sonrisa gingival puede tener varias causas: un crecimiento excesivo de la encía, un exceso de desarrollo del hueso, una erupción excesiva de los dientes o la hipermovilidad del labio superior.
Las opciones de tratamiento para la sonrisa gingival varían según la causa. Algunas opciones comunes incluyen cirugía periodontal para remodelar el tejido gingival por medio de una gingivectomía o un alargamiento coronario y en ocasiones es necesario realizar tratamiento ortodóntico para corregir la posición de los dientes, o una combinación de ambos tratamientos en casos más complejos. En determinados casos, también puede recomendarse el uso de toxina botulínica (Botox) para inactivar los músculos responsables de la sonrisa gingival o darle volumen al labio con ácido hialurónico.
En la mayoría de los casos, el tratamiento de la sonrisa gingival es efectivo y proporciona resultados duraderos. Sin embargo, en determinados casos, puede requerirse un mantenimiento o tratamientos complementarios a medio plazo para mantener los resultados.
En la mayoría de los casos, la sonrisa gingival no es un problema médico o de salud, sino más bien una preocupación o un problema estética. Sin embargo, en algunos casos puede estar asociada a alteraciones en la mordida que requieren un tratamiento funcional.
Ofrecemos la primera visita dental gratuita de 30 minutos de duración. En la que conocemos las inquietudes del paciente y organizamos un plan de tratamiento. Asimismo, proponemos un
presupuesto sin compromiso.
Nuestra filosofía como clínica odontológica se basa en la prevención. Es por ello, que recordamos a nuestros pacientes acudir a nuestra clínica dental de forma gratuita al menos 1 o 2 veces al año para realizarse controles periódicos y evitar complicaciones.