
¿Qué es la Blancorexia? Obsesión por tener dientes blancos.
La blancorexia se refiere a la obsesión por lucir unos dientes excesivamente blancos. No es solo el deseo de mejorar la estética dental, sino una
¿Sabías que al sonreír reduces el nivel de estrés y transmites tu felicidad a las personas que te rodean?
Aunque sonreír es algo que muchas veces hacemos de manera instintiva, hay veces que lo evitamos, sobre todo si no nos gusta nuestra sonrisa o el color de nuestros dientes.
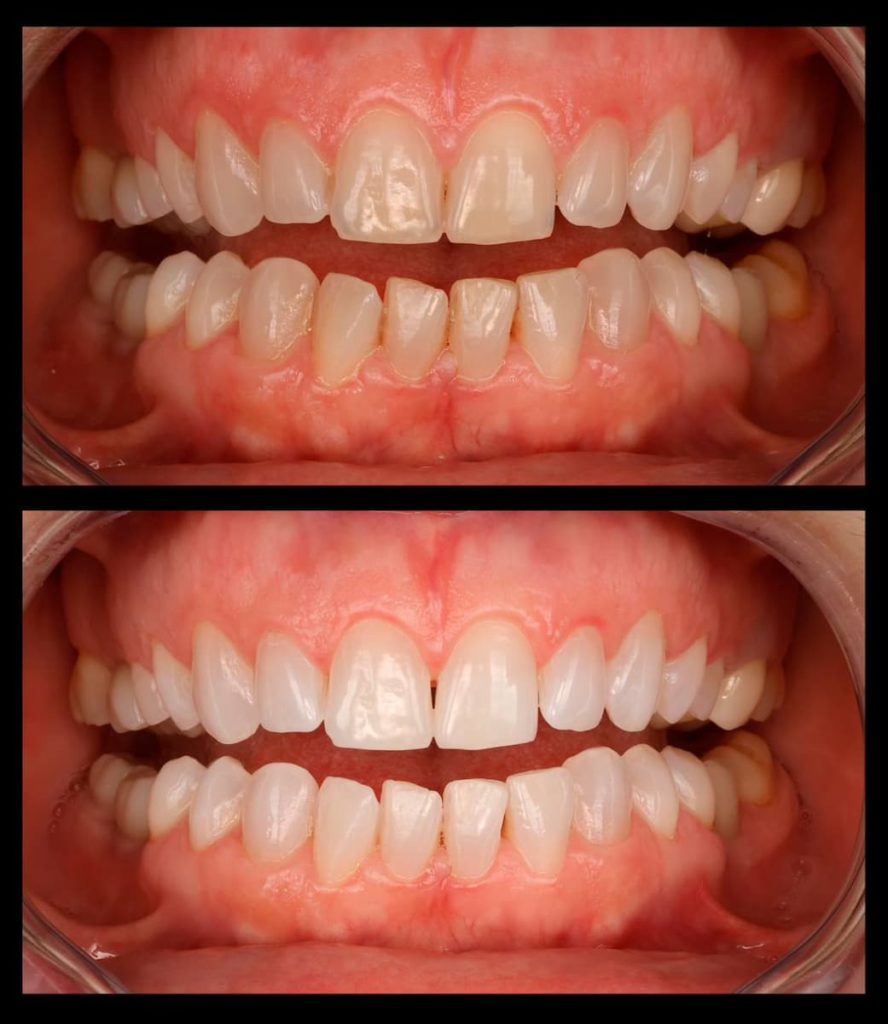
El blanqueamiento dental es uno de los mejores y más sencillos tratamientos que puedes hacerte para mejorar tu sonrisa. En 90 minutos, podemos aclarar la tonalidad de tus dientes para que consigas una sonrisa más blanca sin perder su naturalidad.
En la Clínica Dental Brident Odontólogos utilizamos la técnica de blanqueamiento dental de última generación
«Philips Zoom» con la que en tan sólo 90 minutos logramos modificar varios tonos del color inicial.
El blanqueamiento es uno de los tratamientos de estética dental favoritos de nuestros pacientes. En nuestra clínica dental usamos la técnica de blanqueamiento “Philips Zoom” de última generación con la que logramos modificar varios tonos el color inicial de tus dientes en tan sólo 90 minutos.
El primer paso es comentar con el paciente sus expectativas y analizar los factores que han causado la decoloración del sus dientes. Para ello, llevamos a cabo una revisión general de la salud oral y, en los casos que sea necesario, realizamos una limpieza dental y un saneamiento general de forma previa al blanqueamiento dental.
Antes de empezar, protegemos las encías para que no se dañen con el producto usado. El blanqueamiento se realiza aplicando un gel que contiene moléculas blanqueadoras sobre las superficies de los dientes que queremos blanquear. Lo que hacemos es extenderlo sobre la los dientes y utilizamos una lámpara de luz LED, que activa las moléculas haciendo que estas sean efectivas.
El blanqueamiento dental en nuestra clínica dental dura alrededor de 90 minutos. Aunque es un tratamiento completamente indoloro, puede provocar sensibilidad dental transitoria, que desaparece a las 24-48 horas. Es por esto que en nuestra clínica realizamos un tratamiento desensibilizante en aquellos casos que sea necesario.
Cabe recordar, que el blanqueamiento dental se hace sin ningún tipo de anestesia.
Por último, en Brident Odontólogos ofrecemos a nuestros pacientes consejos de higiene y cuidados dentales para que realicen un buen mantenimiento tras el blanqueamiento y los resultados se mantengan durante el mayor tiempo posible.
Tras el blanqueamiento en la clínica, está incluido un kit de blanqueamiento que proporcionamos al paciente y que deberá aplicarse en casa. Este kit contiene unas férulas fabricadas a medida y el gel blanqueador.
Esta segunda fase del blanqueamiento dental a domicilio está controlada por nuestros especialistas y ayuda a mejorar y a mantener los resultados del tratamiento en la clínica.
Por último, en Brident Odontólogos ofrecemos a nuestros pacientes consejos de higiene y cuidados dentales para que realicen un buen mantenimiento tras el blanqueamiento y los resultados se mantengan durante el mayor tiempo posible.
Tiempo:
120 minutos en clínica+ sesiones en casa
Anestesia:
Sin anestesia
Post operatorio:
Sensibilidad durante 24/48 horas
Financiamos tus tratamientos
Primera visita y revisión anual gratuita
Desde 1987
18.000 pacientes satisfechos
Mejoramos el color de tus dientes en 90 minutos
¿Qué dicen nuestros pacientes?
EXCELENTE A base de 497 reseñas Publicado en Nani PereraTrustindex verifica que la fuente original de la reseña sea Google. Hoy hace 2 semanas que fui a la clínica... Igual de acto de valentía que necesidad... Llevaba tiempo "haciendo CSI de las clínicas dentales" tengo varios hándicaps, malas experiencias, traumas, miedos, tocs y fobias... El olor, el dolor, el ruido de los instrumentos, los metales (metafobia), que me toquen con los mismos los dientes... Necesidad porque ya el dolor no lo soportaba, acudí desplazada de otra isla, me animaron las reseñas (por eso comparto mí experiencia), todos los tratamientos actualizados y la sedación, para mí era prioritario, o eso creía... Al llegar a la clínica acompañada, y acojonada (con perdón) me atendió EL EQUIPO DE RECEPCIÓN, y su amabilidad de entrada, ayuda a respirar, que a mí en ese momento me costaba, rellene los datos, y espere muy poco, me llamó CRISTO, la auxiliar del Dc. Guillermo, y sólo con entrarme a la sala comencé a llorar, quería salir corriendo, pero supo ayudarme a recomponerme, darme agua, todo el tiempo transmite seguridad, acompañamiento, manejo de la situación por casos similares... Llegó el Dc. GUILLERMO y no fue menos, escucha activa, me explicó las necesidades priorizando siempre el bienestar y salud ante "lo bonito", recomendación personalizada, experiencia, como podría salir pronto de todo, sobre todo el intentar reparar lo máximo posible en el menor tiempo, sabiendo que el propio hecho de estar allí por los instrumentales me costaba muchísimo, no me puso pegas en utilizar cascos, me dio muchísima seguridad y apoyo. Cómo ya tenía dolor, para que no me siguiera medicando me dieron un empujón a salir de allí el mismo día sin molestias, me dieron tiempo a pensarlo en lo que atendían y me decidí. Me pasan a otra sala, ahí conocí a LAURA, higienista, me comentaron que querían hacer, aunque en ese momento, les pedí que no me hablarán mucho que lo que tuvieran que hacer, y, ahí, el gran mérito, lo que en principio sería la extracción de una pieza (cordal) que me causaba mucho dolor irradiado, terminó siendo extracciónes de más piezas y una higiene profunda SIN SEDACIÓN, a tope de anestesia. Superé lo peor! Lloré mucho y temblaba mucho, sude más, mi cabeza sólo decía, yo puedo, yo puedo, yo puedo, como un mantra, y sólo pedí parar cuando paraba la música, intento no recordar algunos sonidos, y centrarme en lo que me sumó... Que todo el tiempo me acompañaron, me dieron fuerza, las chicas me agarraban de las manos, me sostenían, el Dc. me animaba, no me dejaron sola, me recordaban el respirar, y el parar cuando necesitara. Tenía también miedo al post. pero seguí y sigo sus recomendaciones, las del Dc., las de todas las chicas, incluidas las de recepción, y no tuve molestias, ni inflamación, con las pautas a raja tabla. En especial Laura me decía: lo que has superado hoy, valiente, y que era un placer conocerme, y el placer fue mío, desde hace 15 días, recordar sus palabras, me reafirma y da fuerza. Me llamó a los días y no creía que había estado en un concierto. Por supuesto sigo preparándome para la próxima visita. Entendieron que todos tenemos nuestros tocs, nuestras taras nuestras fobias y eso sólo lo comprende un equipo humano. Los miedos así como las malas rachas se pasan. En resumen: GRACIAS GRACIAS GRACIAS (y, disculpen por la extensión pero mí experiencia lo requiere!) ElianaPublicado en Sandra FarinaTrustindex verifica que la fuente original de la reseña sea Google. Hace apenas unas horas que el doctor Gillermo y su equipo me extrajeron tres muelas y pusieron tres implantes,no quería esperar más para escribir mi experiencia.Independientemente del magnífico trabajo realizado,quiero destacar el trato recibido.Para mí es importantísimo cuando uno se somete a cualquier tratamiento médico cómo te hacen sentir,la tranquilidad en momentos así es fundamental,y en Brident Odontólogos hacen magia.Una manera de tratar al paciente que escasea,de esas que no olvidas,profesionales,amables,exquisitamente amables.Gracias por la magnífica labor que realizan,sin duda alguna la mejor clínica dental de Tenerife.Publicado en maria isabel santos venturaTrustindex verifica que la fuente original de la reseña sea Google. Muy buen atendimiento . Y profesionalidadPublicado en Roman KopylovTrustindex verifica que la fuente original de la reseña sea Google. Здесь работают потрясающие профессионалы, которые оперативно и качественно поставили коронку на зуб моей жене и помогли сэкономить кучу денег и сохранить зубPublicado en Sonia SantosTrustindex verifica que la fuente original de la reseña sea Google. Encantadísima!!! Y con dos extracciones... con un implante... efectuados en un día y el postoperatorio genial 😅 Súper profesionales y efectivos, desde los doctores pasando por todo el equipo en completo! Gracias y volveré 🥰Publicado en Alicia DsTrustindex verifica que la fuente original de la reseña sea Google. ¡Encantada con mi experiencia en esta clínica dental! Fui a hacerme una limpieza y el resultado fue increíble. El trato fue excelente y muy profesional, me hicieron sentir cómoda en todo momento. Se nota el buen trabajo y salí súper contenta con mi sonrisa. ¡La recomiendo al 100%!Publicado en zara lopezTrustindex verifica que la fuente original de la reseña sea Google. Me atendieron con mucha profesionalidad y me asesoraron de forma muy sincera y correcta. Sin duda confiaré en ellos para próximos tratamientos.
Además de con la toma de algún medicamento como el ibuprofeno. Entregamos a todos nuestros pacientes un gel y una pasta desensibilizante que se podrá aplicar sobre los dientes en casa para mejor la sensibilidad post-blanqueamiento que no suele durar más de 24-48 horas.
Los blanqueamientos dentales combinados que realizamos en Brident Odontólogos pueden llegar a durar muchísimos años. Condicionado a que el paciente siga las indicaciones pautadas y realice los mantenimientos de forma adecuada con las férulas y el uso del producto blanqueador que mandamos para que sea aplicado en casa.
Si estás pensando en realizarte un blanqueamiento dental en Tenerife, en Brident Odontólogos te ofrecemos la mejor técnica del mercado en manos de profesionales muy capacitados y experimentados en este tipo de tratamientos estéticos.
El blanqueamiento que nosotros realizamos en la clínica no daña ni debilita los dientes en absoluto. Nuestros especialistas controlan los tiempos de aplicación y los porcentajes de los componentes blanqueadores para evitar cualquier tipo de efecto nocivo que pueda dañar el esmalte del diente, conservando al máximo la salud bucodental durante todo el tratamiento.
Por otro lado, existen numerosas marcas de blanqueamientos que se comercializan por internet y que no están controlados por profesionales que pueden llegar a producir daños graves e irreversibles.
Si, es frecuente encontrarnos pacientes que sufren sensibilidad después de haberse sometido al blanqueamiento.
Sin embargo, es una sensibilidad que no nos preocupa para nada, ya que tiende a desaparecer a las 24 horas.
En ocasiones, nuestra especialista indicará el uso de alguna pasta dental desensibilizante e incluso la toma de algún analgésico.
Si, sin duda. Cualquier mejora estética que no tenga consecuencias negativas ni riesgos es altamente beneficiosa para el paciente. Poder lucir una sonrisa blanca nos sube la autoestima y nos aporta más motivos para sonreír y ser feliz.
Uno de los motivos principales por los que comentamos que es tan importante realizarse los blanqueamientos dentales en manos de profesionales es porque si existen contraindicaciones para este tratamiento.
Las principales contraindicaciones son las siguientes:
Hay que andarse con cuidado porque existe mucha publicidad engañosa al respecto, las pastas blanqueadoras suelen tener componentes como el peróxido de hidrógeno o carbamida que pueden ayudarnos a eliminar ciertas manchas y a que el esmalte del diente brille más.
Pero debemos tener claro que nunca podremos conseguir, aunque abusemos de este tipo de pastas, esa sonrisa blanca y radiante que nos venden en los anuncios de televisión y a la que solo podremos acceder mediante un blanqueamiento profesional de última generación.
No está contraindicado, pero evidentemente si queremos que el blanqueamiento sea efectivo a largo plazo debemos realizar una dieta post-blanqueamiento. Así como evitar o reducir ciertos alimentos y bebidas que tiñen los dientes (café, té, vino tinto, vinagre, chocolate, etc.). Además, el tabaco también hace que efecto del blanqueamiento sea menos duradero en el tiempo.
La sensibilidad dental se suele producir por la apertura de unos pequeños conductos que existen en los dientes por donde filtran y entran los diferentes estímulos como el frío y el calor.
Por otro lado, otros de los principales motivos de sensibilidad dental que vemos hoy en día en nuestra consulta es el estrés/ansiedad y las recesiones de encía. Esto último, deja expuesta la raíz del diente por donde se filtra con mucha facilidad la sensibilidad.
Hoy en día se comercian muchos blanqueamientos dentales por internet que pueden resultar atractivos por los precios, pero también pueden llegar a ser muy peligrosos para la salud del paciente.
El precio de un blanqueamiento profesional de última generación debería rondar los 580 euros aproximadamente, incluyendo todas las sesiones clínicas, el blanqueamiento ambulatorio y todas las revisiones necesarias.
Antes de iniciar este tratamiento realizamos un diagnóstico previo para ver si el caso es viable, por lo que este tratamiento en manos de especialistas no supone ningún riesgo para los dientes.
El único efecto que se puede dar es una sensibilidad transitoria que no suele durar más de 24 horas y tras la que todos los pacientes se recuperan completamente pasado ese periodo.

La blancorexia se refiere a la obsesión por lucir unos dientes excesivamente blancos. No es solo el deseo de mejorar la estética dental, sino una

A menudo, asociamos dientes blancos con una buena salud dental y con una buena imagen, pero la realidad es que cada individuo posee su propio color natural de dientes.
No obstante, el interés en la apariencia de la sonrisa ha crecido y numerosos pacientes buscan aclarar el tono de sus dientes, especialmente aquellos con dientes de color amarillento o pardo.

Desde hace mucho tiempo, se ha comprobado que la sonrisa es la mejor carta de presentación del ser humano, por lo que durante años se han implementado nuevas tecnologías para conseguir un mejor resultado.
Uno de los principales métodos ha sido el blanqueamiento dental, un tratamiento estético muy popular.
Ofrecemos la primera visita dental gratuita de 30 minutos de duración. En la que conocemos las inquietudes del paciente y organizamos un plan de tratamiento. Asimismo, proponemos un
presupuesto sin compromiso.
Nuestra filosofía como clínica odontológica se basa en la prevención. Es por ello, que recordamos a nuestros pacientes acudir a nuestra clínica dental de forma gratuita al menos 1 o 2 veces al año para realizarse controles periódicos y evitar complicaciones.