
Remedios para dientes que se mueven
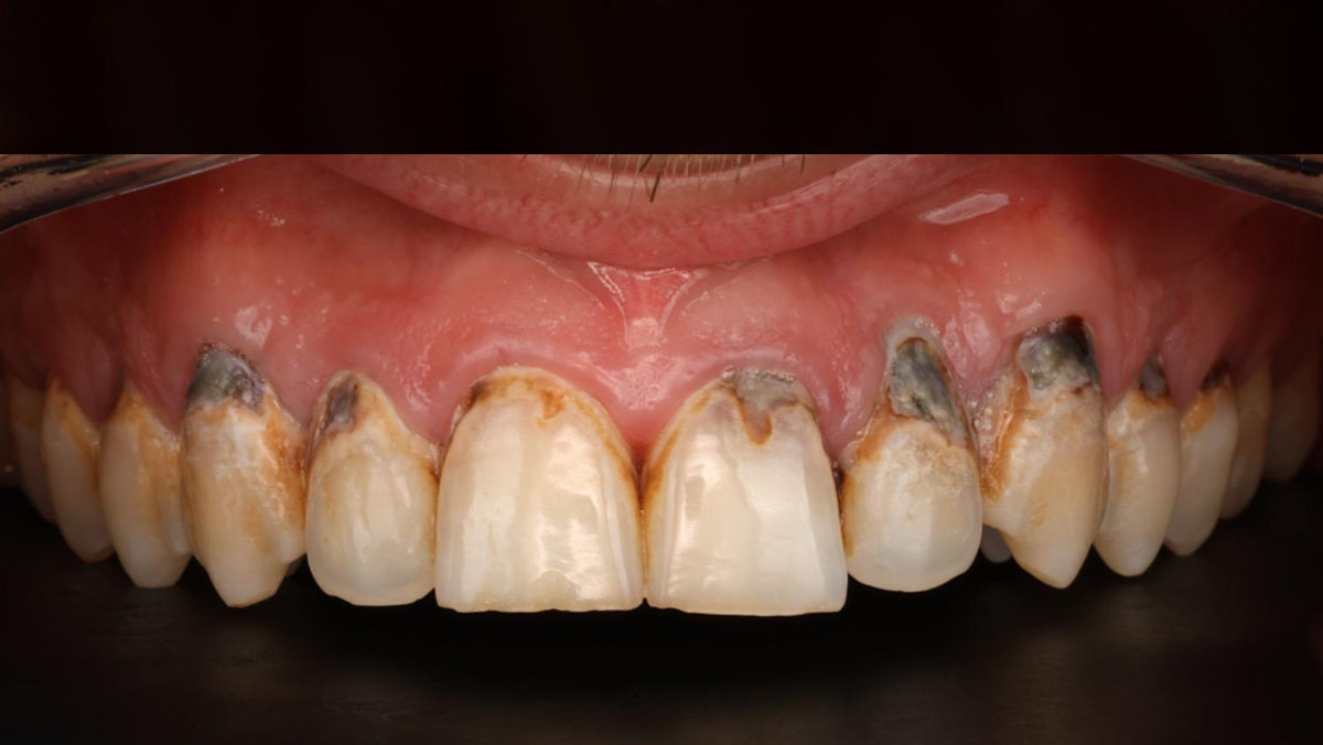
¿Qué puede provocar que un diente pierda soporte y comience a moverse? Enfermedad periodontalNo es una exageración afirmar que la periodontitis puede causar la movilidad,

¿Qué puede provocar que un diente pierda soporte y comience a moverse? Enfermedad periodontalNo es una exageración afirmar que la periodontitis puede causar la movilidad,

El temor a la anestesia, el miedo el dentista, a las agujas, al dolor o la ansiedad por experiencias anteriores lleva a muchos pacientes a

En ocasiones, en mitad de un entrenamiento exigente, podemos recurrir a las bebidas energéticas como remedio para recuperar la fatiga. Sin embargo, vamos a analizar

Al hablar de recidiva en ortodoncia, nos referimos a la tendencia de los dientes a regresar a su posición inicial o a desalinearse tras haber

Un absceso dental es una infección localizada provocada por la existencia de bacterias dañinas. Es común que se forme pus en la encía o el

El objetivo principal del tratamiento con implantes dentales es sustituir los dientes perdidos. Estos tratamientos nos permiten restituir el diente de forma natural, sin dolor

En Brident Odontólogos creemos que la sonrisa es un fiel reflejo de nosotros. Disfrutar de una buena salud y una bonita estética dental mejora nuestra

Nuestras profesionales realizarán una limpieza que dura entre 20-60 minutos e incluye una higiene completa, una revisión general y consejos sobre rutinas saludables para un

Cuando somos niños, cualquier característica que nos diferencie puede resultar objeto de burlas; sin embargo, al crecer, esos mismos defectos se transforman en singularidades, en

¿Puede la ausencia de molares alterar la apariencia facial? Efectos de la ausencia de dientes La IA ha pasado a ser un tema de conversación

¿Puede la ausencia de molares alterar la apariencia facial? Efectos de la ausencia de dientes La ausencia de dientes afecta de una forma muy visible

La blancorexia se refiere a la obsesión por lucir unos dientes excesivamente blancos. No es solo el deseo de mejorar la estética dental, sino una
Ofrecemos la primera visita dental gratuita de 30 minutos de duración. En la que conocemos las inquietudes del paciente y organizamos un plan de tratamiento. Asimismo, proponemos un
presupuesto sin compromiso.
Nuestra filosofía como clínica odontológica se basa en la prevención. Es por ello, que recordamos a nuestros pacientes acudir a nuestra clínica dental de forma gratuita al menos 1 o 2 veces al año para realizarse controles periódicos y evitar complicaciones.