En ocasiones, en mitad de un entrenamiento exigente, podemos recurrir a las bebidas energéticas como remedio para recuperar la fatiga. Sin embargo, vamos a analizar el impacto que estas bebidas pueden tener en tu salud bucal. En esta publicación, analizaremos cómo las bebidas energéticas afectan a la salud bucal y compartiremos recomendaciones para mantener tu sonrisa saludable.
El efecto de las mismas en la salud bucodental representa un riesgo latente en cada trago.
Las bebidas energéticas son cada vez más populares entre los jóvenes y los atletas por su habilidad de ofrecer una rápida dosis de energía. No obstante, poseen cantidades elevadas de azúcar y ácidos que pueden dañar la salud de tus dientes.
De acuerdo con la Asociación de Bebidas Refrescantes (ANFABRA), la ingesta de bebidas energéticas ha crecido en los últimos años, llegando al 2% de todas las bebidas refrescantes consumidas en España.
Beber estas bebidas con frecuencia puede causar varios problemas en la boca, como un mayor riesgo de caries, desgaste del esmalte y sensibilidad dental.
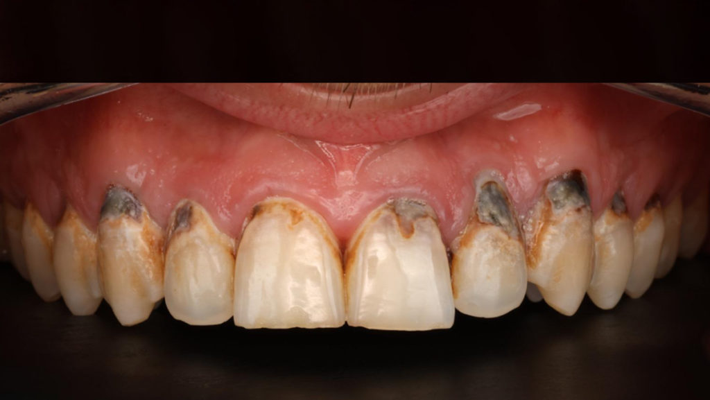
En esta imagen se muestra cómo el azúcar y el ácido de estas bebidas afecta a los dientes.
¿Qué ingredientes de las bebidas energéticas afectan a la salud dental?
Alto contenido de azúcar: Estas suelen tener niveles elevados de azúcar, lo que favorece el crecimiento de bacterias dañinas en la boca. Estas bacterias, genera ácidos que dañan el esmalte dental, incrementando el riesgo de caries.
Presencia de ácido cítrico: las bebidas energéticas también cuentan con niveles elevados de acidez, lo que puede provocar la erosión del esmalte dental con el paso del tiempo. Esto debilita tus dientes y los hace más sensibles y propensos a las caries.
Altos niveles de cafeína: a pesar de que las bebidas energéticas pueden proporcionar una sensación momentánea de estar hidratado, a la larga pueden tener el efecto opuesto. La alta cantidad de azúcar y cafeína en ella puede llevar a la sequedad en la boca, elevando así el peligro de padecer complicaciones dentales como la caries, periodontitis, erosión dental, etc.
En la imagen a continuación, se ilustra la cantidad de terrones de azúcar en una lata de dos marcas populares de bebidas energéticas. ¿No creías que era tan grande, verdad?
Consejos de bienestar bucal para salvaguardar tu sonrisa.
Te hemos advertido previamente sobre los peligros de estos productos, sin embargo, para minimizar los efectos negativos de las bebidas energéticas en tus dientes, sigue estos consejos:
Consume de manera controlada: disminuye el consumo de bebidas energéticas y elige opciones más sanas y naturales, como agua o bebidas deportivas sin azúcar. Tu boca y tus dientes te lo van a agradecer. Te indicamos, a la derecha, una relación de bebidas con menos azúcar.
Después de beber de estas bebidas, enjuaga tu boca con agua o cepilla los dientes para neutralizar los ácidos y proteger tus dientes.
Acude de forma periódica a tu dentista para chequeos y limpiezas hechas por un profesional.

